

93岁的黄奶奶最近一周突然出现频繁的咳嗽、咳痰、气促的情况,咳中带白色脓稠样痰,自行服药后没有缓解,还伴随胸闷、心悸、气促、乏力,家人放心不下,立即将老人送至我院进行诊疗。





清理气管分泌物

患者家属对治疗效果和医务人员的服务非常满意,特地送上锦旗,对我院感染性疾病科医护人员表示感谢,并合影留念。

支气管镜是呼吸系统疾病常见的检查治疗手段,是一项比较安全的检查,发生严重并发症的风险非常低,我院自2019年以来便开展了此项技术,目前已完成近2000例检查和治疗,技术成熟、规范,如出现频繁咳嗽、咳血、咳痰等症状,经医师诊断后可开展该项检查治疗。

科普小讲堂
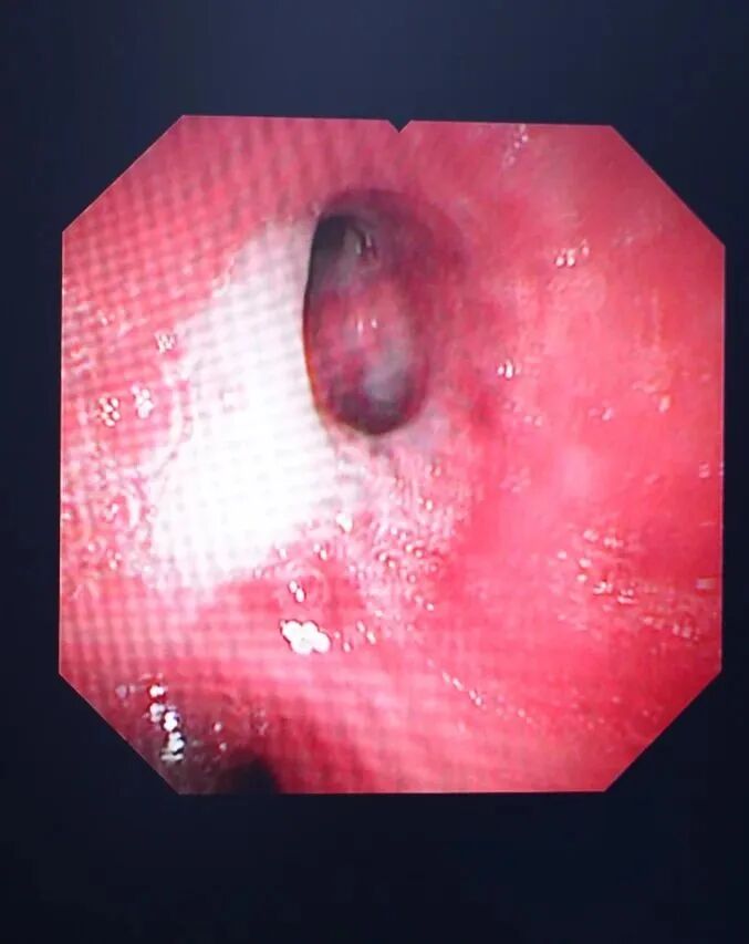
一、什么是支气管镜检查治疗?
支气管镜检查就是将细长的支气管镜经口或鼻置入患者的下呼吸道,医生可以直观地观察到气管和支气管病变,并根据病变做出判断。是呼吸系统疾病临床诊断和治疗的重要手段,临床应用广泛。
三、检查后注意事项
(一)局部麻醉检查后至少观察30 分钟;全身麻醉检查后至少观察6小时,待生命体征平稳,无意识异常、呼吸困难、胸痛及咯血等情况,方可离院;
(二)局部麻醉结束2小时后或全身麻醉结束6小时后方可进食、饮水,以免因咽喉仍处于麻醉状态而导致误吸;
(三)全身麻醉下或使用镇静剂的患者,建议在24小时内不要驾车;
(四)检查完后如出现鼻腔或咽喉疼痛、声音嘶哑或者痰中带血等表现,一般不需特殊处理,几天后症状会自行缓解。



一审一校:乔宇骐
二审二校:黄伟松
三审三校:王丽雄